Is Remdesivir Good For Covid Pneumonia
How Donald Trumps COVID-19 illness unfolded. They may not develop severe pneumonia and may not need to go to the hospital and thats good.

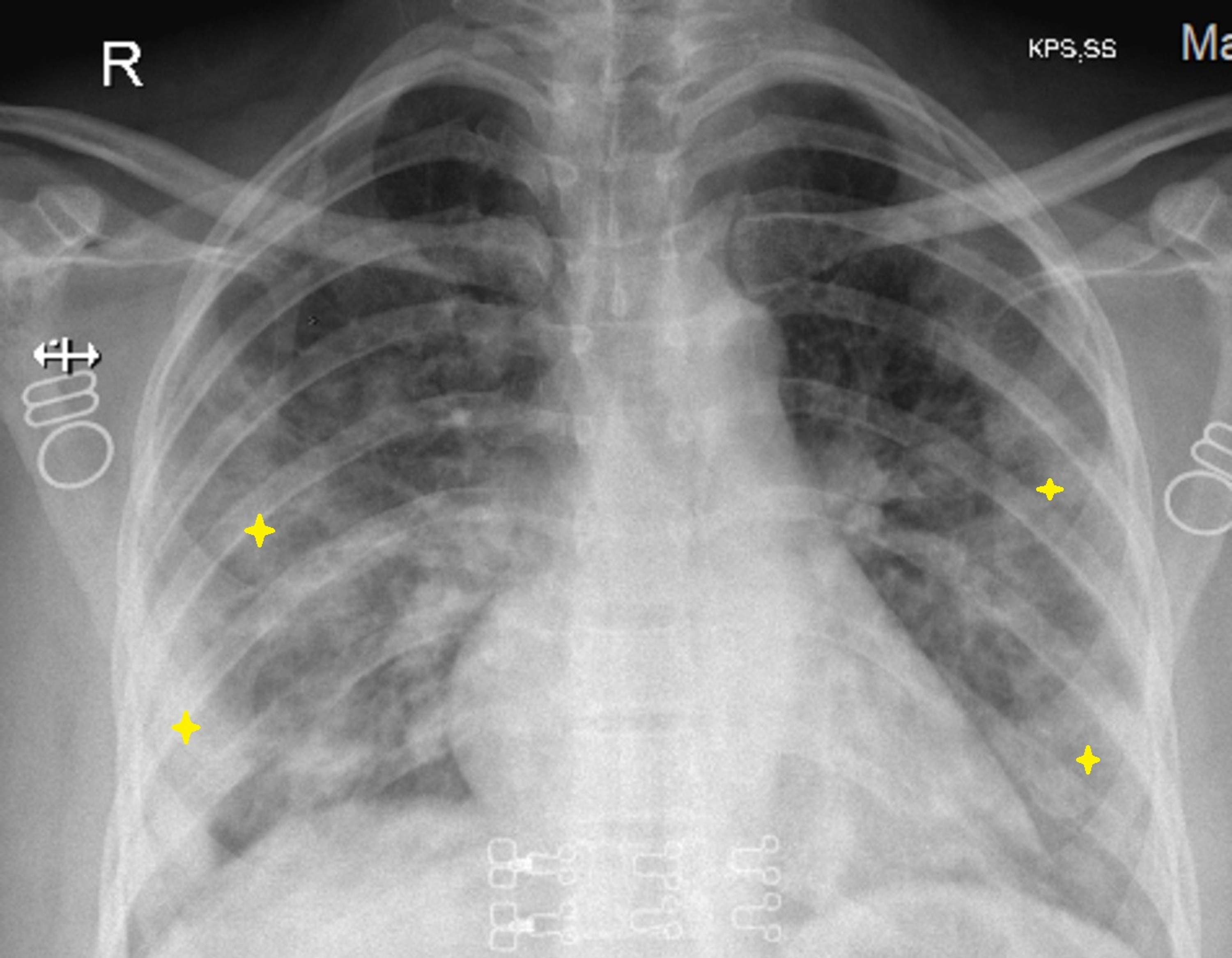
A Case Of Covid 19 Pneumonia Successfully Treated With Favipiravir Avigan In Which Serum Sars Cov 2 Rna Detected By Lamp Method Was Clinically Useful Journal Of Infection And Chemotherapy
Most patients who get COVID-19 will have no complications from it acutely.

Is remdesivir good for covid pneumonia. Some patients with COVID-19 may also develop a bacterial infection such as pneumonia. What we know and do not know about President Donald Trumps bout with COVID-19 after he tested positive on October 1. But we do know there are a few patients mostly those who have risk factors for severe disease these patients are at risk for developing severe disease.
Improving patient care through guidelines evidence summaries and decision aids that we can all trust use and share. In that case a health care professional may treat the bacterial infection with an antibiotic.

Two Drug Combo Shows Dramatic Results For Covid 19 Patients Uf Health Researchers Find Uf Health University Of Florida Health

Remdesivir In Covid 19 Indication Of Considerable Added Benefit For A Part Of The Patients

Covid 19 Pneumonia And Covid 19 Associated Acute Respiratory Distress Syndrome Diagnosis And Management The Pharmaceutical Journal
:max_bytes(150000):strip_icc()/GettyImages-1223021935-60ed58c469b84aff8336077ba149c885.jpg)
Fda Approves Remdesivir As First Treatment For Covid 19

Remdesivir Better Suited To Mild To Moderate Covid 19 Patients

Remdesivir As A Combo Therapy For Covid 19

Remdesivir S Fda Approval To Treat Covid 19 Sets It Ahead Of Treatment Pack

Remdesivir For The Treatment Of Hospitalized Patients With Severe Covid 19 Pennsylvania Society Of Health System Pharmacists

Remdesivir In Moderate Covid 19 Rebel Em Emergency Medicine Blog

Cureus Treatment With Remdesivir In Two Pregnant Patients With Covid 19 Pneumonia

Cureus Treatment With Remdesivir In Two Pregnant Patients With Covid 19 Pneumonia

Everything You Need To Know About The Covid 19 Therapy Trials The Pharmaceutical Journal

Evaluation Management Of Covid 19 In Pregnancy

Georgia Dph Distributes Remdesivir To Hospitals For Treatment Of Covid 19 Georgia Coastal Health District Georgia Coastal Health District

Successful Treatment With Remdesivir And Corticosteroids In A Patient With Covid 19 Associated Pneumonia A Case Report Medwave

Everything You Need To Know About The Covid 19 Therapy Trials The Pharmaceutical Journal

Covid 19 Pneumonia And Covid 19 Associated Acute Respiratory Distress Syndrome Diagnosis And Management The Pharmaceutical Journal

Study Finds No Evidence For Remdesivir S Benefit In Severe Covid 19 Patients

Successful Treatment With Remdesivir And Corticosteroids In A Patient With Covid 19 Associated Pneumonia A Case Report Medwave